衛教資訊

[腳腳痛痛]
有甚麼病越年輕越容易得到呢!?
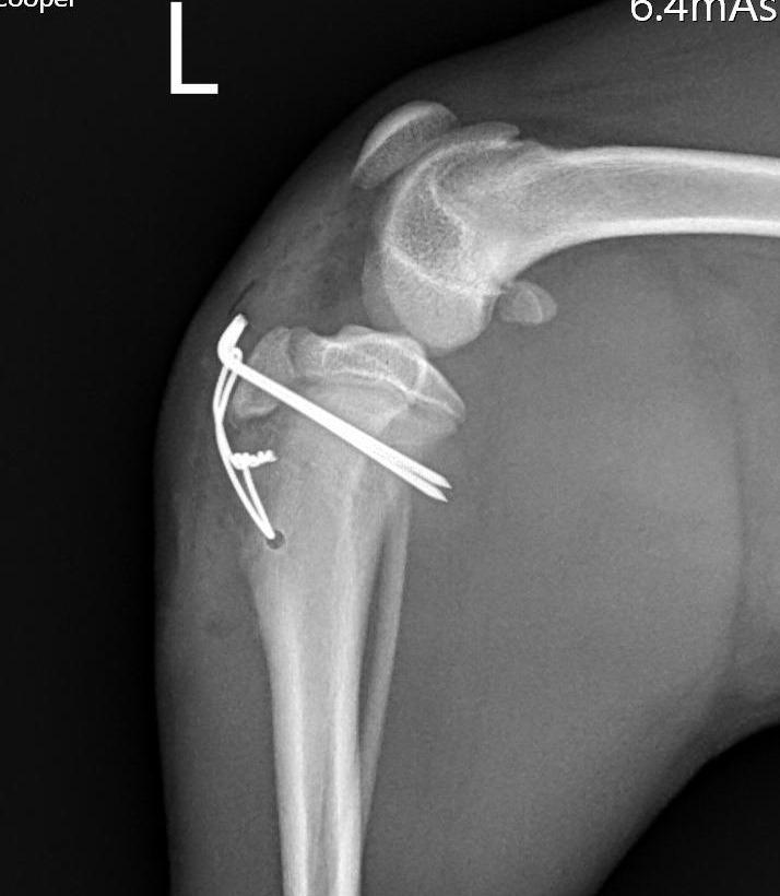
在我們醫院常見的就是 脛骨粗隆骨折

幫大家快速重點摘要: 
1. 這是膝蓋大韌帶的連接處, 旁邊都是滿滿的骨頭生長板
2.年輕的動物剛骨折的時候很痛, 幾天後腳會放下來走, 故意營造好轉的跡象

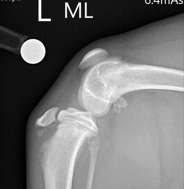
我們練習一下: 第一張照片R是正常的膝蓋, 找找看標記L的第二張 部分哪裡飛起來了呢?

後面兩張就是骨科醫師用骨釘(亮亮一根根) 把骨頭回復到原本該在的位置, 大部分狗狗貓貓都能在3-5天後很好的使用受傷的腳~

寵物腳腳痛不用擔心!   心情調整好
就可以來找骨科醫師按摩按摩, 檢查一下
希望大家都能快樂走路一輩子